今回は、インビザライン矯正(マウスピース矯正)をしたものの、前歯の隙間が改善されずにお悩みだった30代男性の患者さんの症例をご紹介します。
「矯正をしたのに、まだ隙間が気になる…」というお悩みは、実は少なくありません。当院がどのようにしてその原因を突き止め、患者さんの理想の口元を実現したのか、その過程を詳しく解説いたします。
1. 患者さんのご紹介(主訴・お悩み)
患者さんは30代の男性で、「他院でインビザライン矯正を終えたが、前歯の隙間(すきっ歯)がどうしても気になる」という主訴で来院されました。
当初、患者さんは「もう一度インビザラインで再矯正をすれば治るのではないか」と考えていらっしゃいました。
せっかく時間と費用をかけて矯正治療を終えたにもかかわらず、納得のいく結果が得られなかったことへの不安と、再度矯正をすることへの心理的・時間的な負担を感じておられるご様子でした。

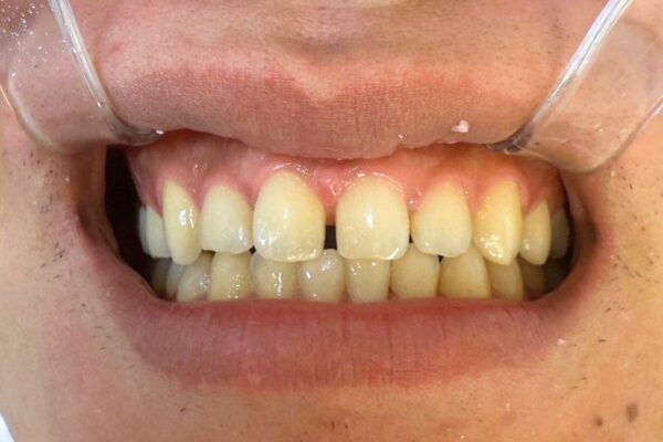
2. ご来院時の状態と診断
初診時の口腔内を確認したところ、以下の状態が認められました。
・顕著な正中離開(せいちゅうりかい): 矯正後とは思えないほど、上の前歯の真ん中に大きな隙間が開いていました。
・骨格と歯のサイズのアンバランス: 詳しく検査を行った結果、下顎の骨格的な大きさと比較して、上の前歯のサイズが相対的に小さいことが判明しました。
・舌癖(ぜつへき)の可能性: 舌で前歯を押し出すような癖がある場合、矯正で一度閉じても後戻りしやすい傾向があります。
診断の結果、今回のケースでは「再度矯正治療のみで隙間を完全に閉じ、それを長期維持することは難しい可能性がある」と判断しました。
・正中離開(せいちゅうりかい): 上の真ん中の前歯(中切歯)の間に隙間ができている状態、いわゆる「すきっ歯」のことです。
・保定装置(リテーナー): 矯正治療で動かした歯が、元の位置に戻ろうとする「後戻り」を防ぐために装着する装置です。
3. 治療計画
当院の強み:多角的なアプローチによる「後戻りさせない」提案
当院では、単に患者さんの希望(再矯正)をそのまま受け入れるのではなく、「なぜ前回の矯正で治らなかったのか」という根本原因を追求します。
今回の患者さんの場合、歯を動かすスペースの限界(下顎との整合性)があったため、無理に矯正で閉じようとしても、噛み合わせが崩れたり、保定装置を外した瞬間に再発したりするリスクが高いことを説明しました。
そこで、以下の2つのプランを提案しました。
・前歯4本をセラミックにするプラン: バランスの整った自然なスマイルラインを目指せます。
・前歯2本のみをセラミック(またはラミネートベニア)で大きくするプラン: 歯の横幅をわずかに広げることで隙間を埋め、見た目の改善を目指します。
患者さんと入念にカウンセリングを行った結果、「できるだけ歯を削らず、見た目を改善する」ために、前歯2本の治療を選択されました。
4. 治療時
妥協のないシミュレーションと精密審美治療
治療は以下のステップで慎重に進められました。
①クリーニングとプレ・シミュレーション
まずは口腔内を清潔にし、精密な型取りを行います。当院のこだわりは、「いきなり歯を削らない」ことです。
②模型上での仮歯を作成
型取りした模型をもとに、完成予想図となる「仮歯の形」を作成します。これを実際に見ていただくことで、「前歯が大きくなりすぎて不自然にならないか」という患者さんの不安を払拭します。
③形成(歯を削る処置)と精密印象
患者さんに形を納得していただいた後、歯の表面を最小限整えます。当院では拡大鏡やマイクロスコープを使用し、歯ぐきとの境目が滑らかになるよう精密に形成します。これにより、被せ物と自歯の段差をできる限り少なくし、二次カリエス(むし歯の再発)のリスク軽減できます。
④技工所との連携と仮歯の提供
当院が信頼を置く、審美歯科に精通した歯科技工士へ製作を依頼します。その間の2週間は、事前に設計した形の仮歯でお過ごしいただくため、見た目のストレスはありません。
⑤試着(試適)とセット
完成したセラミックを実際にお口の中で合わせ、色調、形態、噛み合わせを確認します。患者さんご本人にも鏡でチェックしていただき、十分にご納得いただいた上で接着しました。
・形成(けいせい): 被せ物や詰め物が適合するように、歯の形を整える処置のことです。
・咬合採得(バイト): 上下の歯の噛み合わせの状態を記録することです。
・二次カリエス: 一度治療した歯の詰め物や被せ物の隙間から、再び虫歯になってしまうことです。
5. 治療後・予後
治療完了後、前歯の隙間は目立たなくなりました。

患者さんからは「矯正をやり直すよりもずっと早く、しかも理想通りの見た目になれて本当に良かった」と大変満足していただけました。
現在は定期的なメンテナンスに移行していますが、歯ぐきの状態も良好で、脱離や破折などのトラブルもなく経過しています。
隙間をセラミックで補綴したことで、歯と歯のバランスが整い、清掃しやすい形態になりました。
医院からのメッセージ
インビザライン矯正は素晴らしい手法ですが、歯のサイズや骨格によっては、矯正だけで解決できないケースも存在します。
当院では、矯正、審美歯科、補綴(被せ物)など、複数の選択肢から「その患者さんの状態に適した治療法は何か」を専門的な視点でアドバイスさせていただきます。
「他院での治療結果に満足がいかない」「自分の歯でも隙間は埋まるのか?」とお悩みの方は、ぜひ一度ご相談ください。
監修:諏訪 知美